Entradas

Mostrando entradas de enero, 2021

Caso 4C. “Todos los cristales tienen una estructura atómica o molecular periódica, que presenta un orden tanto a corto como a largo alcance. Por ello los cristales presentan un patrón de difracción de rayos X definido, que sería imposible sin esa estructura periódica”.

Imagen
Debido a los cuasicristalnes que no presentan una estructura periódica ordenada ni a corto ni a largo alcance pero en cambio si presentan un diagrama de difracción discreto podemos afirmar que el enunciado propuesto es falso. Para justificar lo dicho solo es suficiente comprobar cu a l es la definició n que la Unión Internacional de Cristalografía da a partir de 1992 al concepto de cristal: “ Cualquier sólido que produzca una patrón de difracción discreto”. No hace ninguna referencia a la necesidad de una estructura periódica. Imagen tomada de https://commons.wikimedia.org/wiki/File:Ho-Mg-Zn_E8-5Cube.png

Caso 4B. “La Wi-Fi impide conciliar el sueño”.

Imagen
No hay evidencias científicas para pensar que la tecnología que permite la conexión Wi-Fi impide conciliar el sueno. La Wi-Fi utiliza en su funcionamiento ondas electromagnéticas no ionizantes que no provocan ningún tipo de alteración el el sueño. Pero la realidad es que la adicción de ciertos individuos a las nuevas tecnologías hace mucha gente esté conectado a sus pantallas hasta última hora antes de dormir. Sí está comprobado que la luz azul que emiten las pantallas puede dificultar la conciliación del sueño. En este caso la tecnología que utiliza ella Wi-Fi no es el causante de alteraciones sino el mal uso que hacemos de ella. Imagen de OpenClipart-Vectors en Pixabay

Caso 4A. “El colapso de la función de onda en física cuántica no es un concepto físico, sino filosófico”.

Imagen
En mi opinión el enunciado propuesto es verdadero. El estado de una partícula viene definido por la función de onda que predice que la partícula está en superposición lo que significa está en varios estados a la vez. Pero cuando se realiza la medición la función de onda colapsa y se observa la partícula está solamente en una de los estados posibles. La física cuántica no es capaz de explicar el porqué del colapso pero sabemos que se da. En mi opinión el colapso de la función de onda es un concepto filosófico, un modelo, creado pero que sirve para explicar el fenómeno que observamos. Imagen de Gerd Altmann en Pixabay

Nahikoa errealista naiz pesimista hutsa naizen arren

Imagen
Orain arte errealismoa zer zen ere ez banekien ere, oro har ados nago errealistek baieztatzen dutenarekin, behatzailearen adimenetik askea den eta teoria zientifikoek ezagutu nahi duten mundu hipotetiko bat existitzen dela esaten dutenean. Gure ezagutzatik haratago mundu erreal bat existitzen da. Behatzaile bakoitzak bere pertzepziotik begiratzen badio ere errealitatea hor dago errealitatea ez da gure zentzumenek eraikitako konbentzio huts bat. Ondo baieztatutako teoria zientifikoek aurreko paragrafoan aipatutako mundu hipotetikoari buruzko informazioa ematen digute, ez soilik gertaera soilena. Teoriak gertaerak azaltzen dituenean eta gerta horiek aurreikusi eta sortzen dituzten eraginak atzeman ditzakegunean errealitatea beraren baleko azalpenak direla onartzea onargarria dela uste dut. Baliteke baieztatutako teoriek errealitatea bere osotasunean azaldu ezin izatea baina munduari buruzko benetako informazioa gordetzen dute. Arazoa, ordea, baieztatutako teoriak zeintzuk diren atzemate...

La cruda realidad de las mujeres de "el club de Pickerin"

Imagen
En las fotos propuestas para analizar podemos ver las empleadas de Edward Charles Pickering(1846-1919). Pickering fue un astrónomo estadounidense que dirigió el Harvard College Observatory. Pikering contrató un grupo de mujeres para que realizaran, en su opinión, el trabajo aburrido de hacer las mediciones tanto de la posición como el brillo de las distintas estrellas que eran captadas en placas fotográficas. Con la información recolectada hacia 1890 Pikering propuso una clasificación de las estrellas. El grupo de mujeres contratadas fue conocido como “el club pe Pickering” pero en ocasiones también se lo denomino, de forma despectiva como “el harén de Pickering”. La mujeres trabajaban 6 días a la semana en horarios ininterrumpidos. Su trabajo se consideraba de poca importancia, repetitivo y sin transcendencia. Los sueldos que recibían eran míseros. El trabajo que realizaban hoy en día se realiza mediante ordenadores. Eran los ordenadores de Pickering. En la foto de grupo podemos ob...

Ciencia y tecnología imprescindibles para el mutuo desarrollo

Imagen
La ciencia y la tecnología son dos disciplinas que se complementan. La tecnología se define como el uso de la ciencia para resolver una necesidad humana o para facilitar la vida de los seres humanos. La tecnología siempre parte de una necesidad que alguien tiene o lo puede predecir. En muchas ocasiones el concepto de tecnología se confunde con las nuevas tecnologías por lo que creemos que este concepto está ligado con los ordenadores, tabletas o artilugios parecidos. Nada más lejos de la realidad. La tecnología es cualquier cosa que pueda satisfacer una necesidad que alguien tiene. En esta definición tienen cabida utensilios tan simples como un tenedor o tan sofisticados y complicados como una máquina herramienta automática. La tecnología no solo hace referencia a los objetos, los modos de organizar trabajo o los procedimientos de trabajo también pueden considerarse tecnologías. La ciencia básica y la tecnología como se ha dicho siempre han ido de la mano pero en muchas ocasiones no s...

Un canon de belleza para cada época.

Imagen
Es bien sabido que el canon de belleza ha ido variando a lo largo de la historia. Pero este cambio no solo está relacionado con el tiempo de la historia también varia con el espacio. La belleza o el canon de la belleza cambia tanto en el tiempo como en el espacio. En esta dirección escribió e l dramaturgo noruego Henrik Johan Ibsen (1828-1906) “ ¿Qué es la belleza? Una convención, una moneda que tiene curso en un tiempo y en un lugar”. La idea de que la belleza es una cualidad efímera es una creencia muy extendida y es muy recurrente en muchos autores como Leonardo Da Vinci (1452-1519) que dejó escrito “ Todo lo que hay de bello en el hombre pasa y no dura”. El poeta español Luis Cernuda (1902-1963) en la misma línea que Da Vinci dijo “Todo lo que es hermoso tiene su instante, y pasa”. Por lo tanto parece que la belleza, siendo una cualidad muy estimada y perseguida, es algo cambiante con el tiempo en el espacio y además no es una cualidad conservativa. Para terminar esta introducció...

Zientzia arrunta lantzeak dakar osteko iraultza

Imagen
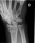
Irudian ikus dezakegun erradiografia trebatu gabeko norbaitek ikusten duenean ezer gutxi nabarituko du bertan. Trebea bada eta adi aztertuz gero, baliteke eskumutur bat dela atzematea eta goiko aldeko D hizkia ikusirik eskumako izan daitekeela pentsatuko du, beharbada. Pentsatzekoa da, erradiografia bat egin dioten eskumuturra izanik, litekeena dela haustura edo lesioren bat izango duela. Baina hortik gora ezer gutxi esatera ausartuko litzateke. Baina, erradiologo edo erradiografien irakurketan aditua denak bat batean atzemango du radio hezurraren apurketa baten irudia dela; ez hori bakarrik, apurketa itsusia dela eta ondo konpondu ahal izateko ebaketa egitea ezinbestekoa dela konturatuko da berehala. Zer dela eta erradiologoak horrenbeste informazio lor dezake begirada azkar batean? X izpien erabilera onartutako paradigma baten arabera egiten den zientzia arruntaren metodo bat delako. Adituek badakite nola egin behar diren erradiografiak emaitza egokiak lortu ahal izateko, badakite no...

Caso 3C.

Imagen
  Hay muchas pruebas como son las leyes estequiométricas, l ey de las proporciones constantes y otras que avalan la existencia de los átomos. Los átomos son uno de los niveles de organización de la materia que nos permite predecir las propiedades de los elementos. Los átomos tienen masa e interactúan entre ellos y además los podemos ver, mediante El microscopio de efecto túnel, no solo esto también los podemos mover a las posiciones que deseemos. Lo que caracteriza a un átomo el el número de protones en su núcleo  ya que el número de neutrones puede variar dando lugar a los isotopos y la variación del número de electrones genera iones. Todos los elementos los podemos cuantificar, medir e ver sus efectos. La afirmación del enunciado, en mi opinión, es falsa. Imagen: Imagen de Tomislav Jakupec en Pixabay

Caso 3B. Si los neandertales y los sapiens tuvieron descendencia eso significa que son la misma especie

Imagen
Existen muchas y diversas definiciones de la palabra especie y ninguna de ellas es totalmente satisfactoria para todas las partes . Los paleoantropologos han primado criterios morfológicos. Los genetistas por su lado priman el criterio de la descendencia fértil. Este criterio sostiene que son de la misma especie los individuos que puedan generar descendencia fértil. Está comprobado que hubo híbridos fértiles entre los Homo Sapiens y los Neandertales lo que desde el punto de vista genético pertenecen a la misma especie. Desde el punto de vista morfológico está muy bien documentado la distinción de las dos especies. Hasta ahora se pensaba que la evolución humana se podía representar como un árbol donde las distintas ramas hacían referencia a distintas especies bien diferenciadas. Pero la realidad parece ser bastante más compleja: las ramas mencionadas se habrían cruzado y mezclado en varias ocasiones. En mi opinión aunque está probado que hubo hibridación las dos especies son distintas...

Caso 3A. Ni existe acción a distancia en el entrelazamiento cuántico ni existe en la gravedad

Imagen
En la física clásica se entendía que la gravedad era una efecto de acción a distancia. De hecho la atracción entre dos masas se hacia más pequeño con el cuadrado de su distancia. Esta atracción aunque cada vez mas pequeña se mantenía a pesar de aumentar la distancia. Pero con las teorías de Einstein esto cambia y entendemos que una masa, digamos el sol, modifica o curva el tejido espacio tiempo a su alrededor lo que hace que el movimiento de otra masa, digamos un planeta, se modifique debido a la curvatura del espacio tiempo, siempre y cuando entre en ella. No hay atracción entre las masas, no hay acción a distancia. Se denomina entrecruzamiento cuántico la conexión íntima entre dos partícula cuánticas, por ejemplo dos electrones. Cuando tenemos dos partículas entrelazadas los cambios en una de ellas se reflejan de forma instantánea en la otra. A este fenómeno se le llama coherencia. En el caso de el entrelazamiento cuántico también diría que no hay acción a distancia la información n...

Goethe:¿Solo poeta o también científico?

Imagen
Johann Wolfgang von Goethe ( Fráncfort del Meno , 1749- Weimar , 1832 ) fue un polifacético alemán que fue poeta, dramaturgo, novelista y además científico. Hombre muy respetado en Alemania por su carácter de sabio que se intereso de una gran cantidad de temas dispares. Contribuyó enormemente al Romanticismo. Su aportación dejo una enorme huella en la cultura Alemana y consecuentemente en la Europea. Se le consideraba un pol í mata debido a la diversidad de conocimientos que estudió y trabajó. Su obra literari a y sobre todo su faceta de poeta fue y sigue siendo muy admirado y respetado. Pero en cuanto a su rol de científico fue muy cuestionado en su época y su ciencia no parece nada ortodoxa desde la mirada actual . G oethe fu e un apasionado científico pero sus méto do s eran peculiares y nada reconocidos por los de su tiempo. Goethe defendía la observación de los fenómenos naturales desde una mirada multidisciplinario y tomando en cuenta todas las cuestiones que lo rodeab...

Es mas fácil decir lo que no es arte

Imagen
Definir lo que es arte es una tarea ardua ya que ha tenido, tiene y tendrá tantas definiciones y matices como personas hayan pensado sobre el término. La Real Academia Española define arte como “Manifestación de la actividad humana mediante la cual se interpreta lo real o se plasma lo imaginado con recursos plásticos, lingüísticos y sonoros”. En esta definición es muy amplia y ambigua pero la definición que nos ofrece Google es uno poco mas restrictiva ya que introduce otro concepto: la finalidad estética. El comando define de Google escribe: “actividad en la  que el hombre recrea, con una finalidad estética, un aspecto de la realidad o un sentimiento en formas bellas valiéndose de la materia, la imagen o el sonido" .  En mi opinión el arte tendría que tener un propósito mas allá de lo estético. El arte verdadero tiene que ser capaz tanto de comunicar como de transmitir una mensaje o un sentimiento al espectador. Como dijo el artista alemán Max Ernst “El arte no tiene nada q...